联系方式
13823166663
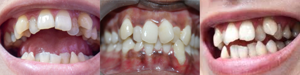
牙齒不整齊
起因
牙齒不整齊的起因有多種,主要包括:
遺傳因素:父母的牙齒排列情況可能影響子女的牙齒發育。
不良習慣:如吮指、咬唇或舌頭推牙等習慣,可能導致牙齒排列不正。
早期脫牙:乳牙過早脫落,可能影響恆牙的正常生長排列。
顎骨發育問題:顎骨過小或過大,影響牙齒的排列。
症狀
牙齒不整齊的常見症状包括:
牙齒重疊或間隙過大。
牙齒前突或內縮。
咬合不正,可能導致咀嚼困難。
牙齒清潔困難,增加蛀牙風險。
不良後果
如果不及時處理,牙齒不整齊可能導致:
口腔衛生問題,增加蛀牙和牙周病的風險。
咀嚼和說話困難,影響日常生活。
心理影響,可能導致自信心下降。
治療方式
牙齒不整齊的治療方式通常包括:
矯正治療:使用牙套或隱形矯正器,逐步調整牙齒位置。
牙齒修復:如需要,進行牙齒修整或重塑。
拔牙:在某些情況下,可能需要拔除多餘的牙齒以改善排列。
保持器:矯正後使用保持器,防止牙齒回彈。
及早就醫並尋求牙醫的專業建議,可以有效改善牙齒不整齊的問題,增進口腔健康和生活質量。
