联系方式
13823166663
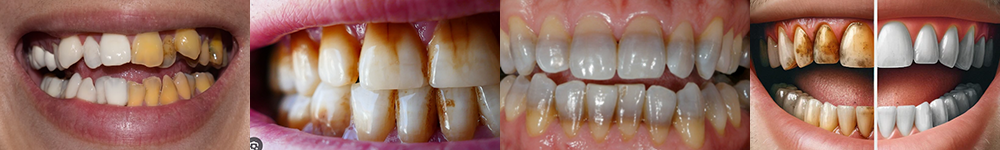
牙齒發黃
起因
牙齒發黃的原因主要包括:
飲食習慣:咖啡、紅酒、茶、可樂等飲料中的色素會導致牙齒著色。
吸煙:煙草中的尼古丁和焦油會使牙齒變黃。
口腔衛生不足:不規律刷牙或使用牙線,可能導致牙齒表面積聚牙垢和色素。
牙齒磨損:隨著年齡增長,牙齒琺瑯質磨損,底下的牙本質變得更加顯眼,造成牙齒顏色變深。
先天:有個別群體由於遺傳,小時候生長環境,藥物等因素,導致牙齒的顔色不正常。
症狀
牙齒顏色變得不均勻或變黃。
牙齒表面可能有斑點或污漬。
可能伴隨口臭或口腔不適(如有牙齦病)。
不良後果
如果不及時處理,牙齒發黃可能導致:
自信心下降,影響社交和心理健康。
可能引發牙齦病或蛀牙,進一步損害口腔健康。
口腔衛生問題,可能加重發黃情況。
治療方式
牙齒發黃的治療方式通常包括:
專業洗牙:由牙醫進行深層清潔,去除牙垢和色素。
漂白治療:使用牙齒漂白劑,改善牙齒顏色。
美白牙膏:使用含有美白成分的牙膏,逐漸減少色素沉著。
避免色素食物:減少咖啡、紅酒等色素食物的攝取,保持良好的口腔衛生。
牙冠(瓷牙),瓷貼面修復:由專業牙醫定制製作美觀表面覆蓋 及早采取措施,改善牙齒發黃問題,可以恢復牙齒的美觀和自信。
